

Nosso propósito é transformar sorrisos
O sorriso sempre foi o ponto de partida da nossa jornada. Desde o início da carreira, sonhávamos em construir um espaço onde a odontologia fosse mais do que técnica fosse uma experiência de transformação, autoestima e confiança.
Assim nasceu a Pagnocelli Odontologia, uma clínica que representa a união entre o conhecimento científico, o toque humano e o compromisso que temos em entregar resultados que realmente mudam vidas. Cada tratamento é planejado de forma única, com a nossa visão conjunta e o apoio de tecnologia digital de última geração.
Nosso propósito é simples, mas poderoso: devolver a cada paciente o prazer de sorrir sem medo, com naturalidade e bem-estar. Desde o primeiro contato até o resultado final, acompanhamos cada etapa com dedicação e cuidado, porque acreditamos que transformar sorrisos é, acima de tudo, transformar histórias.
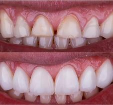
Vergonha de sorrir em público? Não mais!
As lentes de contato dental/facetas dentárias vão muito além da estética, elas devolvem a sua liberdade de ser feliz e corrigem diversos problemas incômodos que te impedem de sorrir.
Elimine adversidades como:
-
Dentes lascados ou quebrados
-
Espaços entre dentes
-
Forma e cor dos dentes sem harmonia
-
Comprimento irregular dos dentes
-
Dentes desgastados
-
Largura irregular dos dentes

Esse tratamento é para mim?

Dentes amarelados e escurecidos

Dentes espaçados (diastemas)

Dentes fraturados

Dentes pequenos aspecto infantil

Gengiva muito exposta ou irregular

Dentes desgastados por bruxismo
- Alinhadores ClearCorrect em Erechim | Pagnoncelli Odontologia - Pagnoncelli - Alinhadores - Pagnoncelli Odontologia Facetas - Pagnoncelli - Facetas
Como criamos o seu sorriso ideal
Cada sorriso é único e o seu tratamento também. Aqui, tudo começa com um planejamento digital completo, feito com tecnologia 3D de última geração e a experiência do especialista.
Antes mesmo de iniciar o uso dos alinhadores, você já consegue visualizar como será o seu novo sorriso. Cada movimento é pensado nos mínimos detalhes para garantir um resultado natural, harmônico e seguro.

São apenas 3 passos para transformar o seu sorriso
Avaliação
Na primeira consulta, fazemos uma análise completa do seu sorriso, da sua face e do seu objetivo com as facetas.
Através de fotos e escaneamento digital, avaliamos qual o melhor tipo de faceta para o seu caso.
Tudo é feito de forma personalizada, respeitando sua anatomia e expectativas.
Planejamento
Com base na sua avaliação, criamos o planejamento do seu novo sorriso.
Você pode visualizar como ficará o resultado antes mesmo de iniciar o procedimento.
Cada detalhe é pensado para garantir naturalidade, harmonia e um sorriso que combine com você.
Aplicação das facetas
Após a aprovação do planejamento, realizamos a aplicação das facetas com técnica minimamente invasiva.
Em poucos dias, você já sai da clínica com um sorriso renovado, mais branco, alinhado e harmônico.
O resultado é imediato e totalmente personalizado.

Viva a sua
melhor versão
Seu sorriso é único, e ele pode refletir a sua melhor versão.
Com as lentes de resina, é possível realçar sua beleza de forma natural, sem exageros, respeitando sua expressão e harmonia facial.
Um sorriso bem planejado transforma não apenas a estética, mas também a confiança.
Agende uma avaliação e descubra como alcançar o sorriso que combina com você.







